
Implants
We do not ‘sell implants’, we offer a bespoke service based on individual needs. Not every implant is the same. Please read about some of the things that you receive as part of your treatment with us.
Covering South East London, Kent, Petts Wood, Chislehurst, Orpington, Bromley, Beckenham, Biggin Hill, Hayes, Mottingham, and more
Call 01689 664 600
The Implant Journey
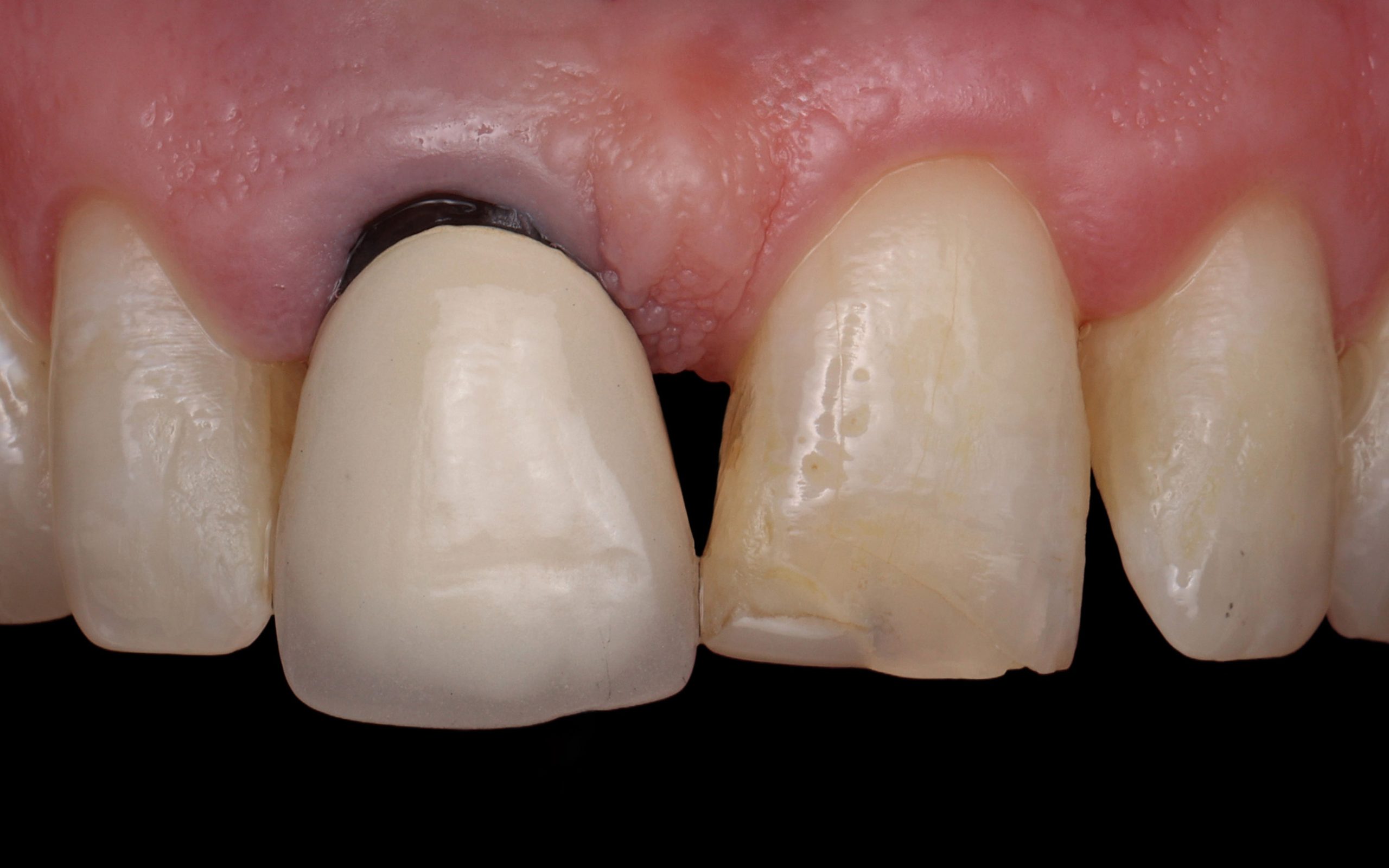
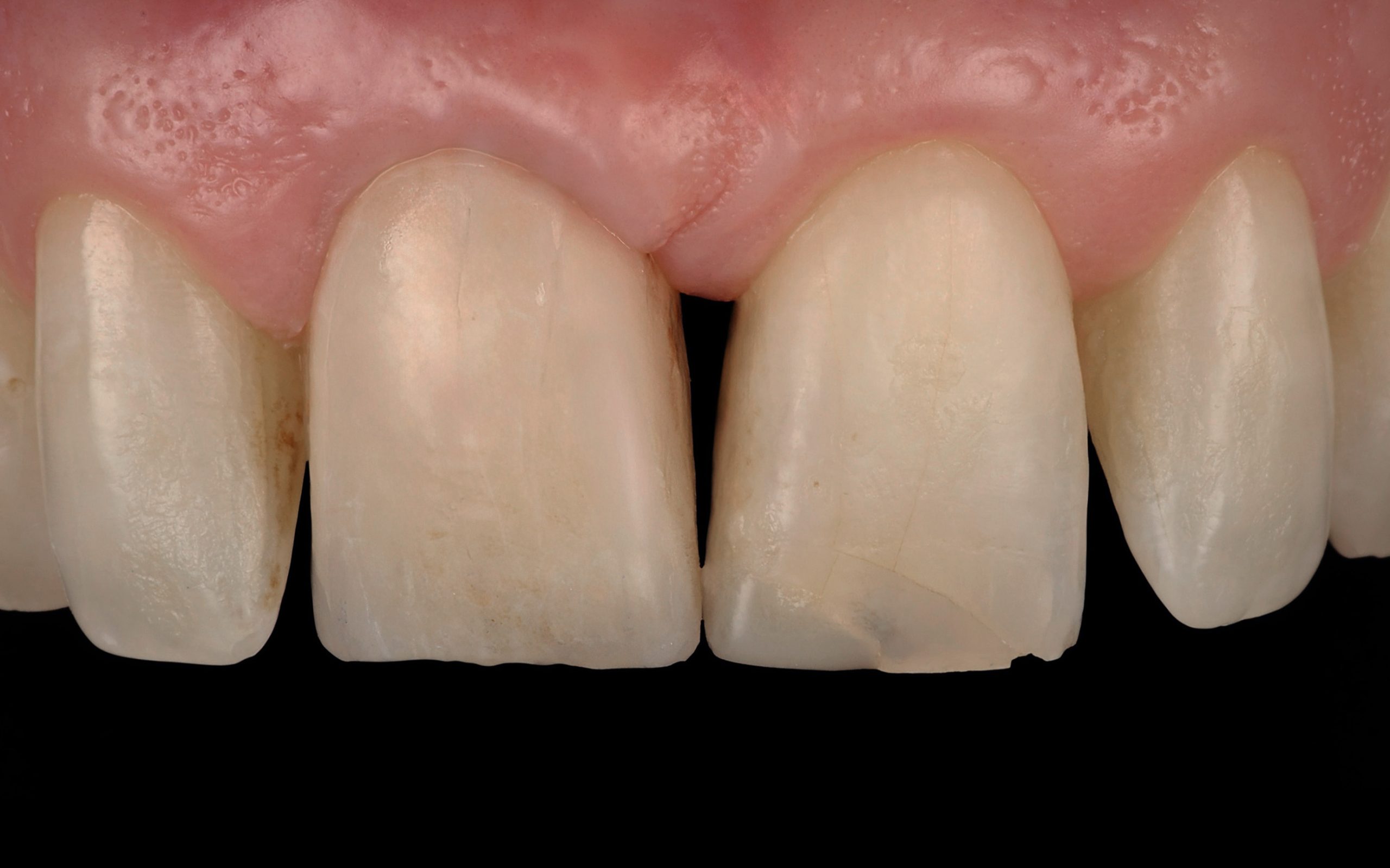
What is a dental implant?
Dental implants are used to replace one or more missing teeth. They are an artificial replacement for a tooth root, usually made from titanium. The body forms a biological bond between the titanium surface and the jawbone, known as osseointegration. Once this has occured, the foundation to the tooth crown is inserted into the implant, usually with a screw, to which a custom made crown is attached to replace the missing tooth.
Why should I replace missing teeth?
The most common reasons that people choose to replace teeth are for better eating and chewing, and for cosmetic reasons if the gaps are visible when you talk or smile.

In addition to these points, once a tooth is removed, there are some negative biological and mechanical changes that may take place in the surrounding area. This includes the deterioration of the jaw bone (we call this resorption) and the tilting and over-eruption of adjacent teeth. Replacing teeth with implants can prevent this occuring.
Are implants the best option to replace missing teeth?
In many situations yes.
The alternative options for replacing teeth are often either a bridge, or a denture.
A bridge is an artificial tooth that is attached to one or more adjacent teeth with a cement. This can involve drilling away much of the healthy tooth surface of these adjacent teeth to accomodate the missing tooth. In some situations this may be a valid option however, the long-term health of the adjacent teeth can be severely compromised and sometimes eventually resulting in losing further teeth. In contrast, replacing a tooth with a dental implant does not affect the health of adjacent teeth, and can in fact help by spreading the chewing load on other teeth.
If you have several missing teeth, a denture can be another option to replace teeth. These are false teeth that are removable. Some dentures can be designed and manufactured to be comfortable, but they will never quite feel like your own teeth due to the surface of acrylic or metal that will cover part of your gums. Also due to the inherent nature of dentures, they can move when talking or eating, and as well as causing discomfort and embarassment, this can cause damage to the surrounding teeth and underlying gums eventually. Dental implants are a fixed solution to replacing gaps, which are most like having your own teeth back.
If you have a denture, implants can be used to secure your denture in place to stop movement. Whilst you will still have a removable denture, the difference implants can make in the reduced movement of the dentures can be life changing. This is particularly the case for lower full dentures.
Of course there will be situations in which dental implants may not be the best solution in your particular case. It is not uncommon for us to tell you this and refer you to your own dentist to provide the alternative treatment that is in your best interest.
Is everyone suitable for dental implants?
Most adults in good general medical and dental health are suitable. There is no upper age limit to having implants as long as you are physically well and do not have any significant medical problems. Younger people whose mouths and jaws may still be growing may not be suitable and usually need to wait to have implants.
Some dental factors such as significant gum disease, smoking, significant grinding/clenching and an unwillingness or inability to maintain good oral hygiene may mean that you are unsuitable for implants.
Implants also need to be inserted fully into a good volume of bone. Sometimes there has been so much bone loss that implants are just not a feasible solution to replace a tooth. This is rare. Alternatively, bone grafting or augmentation procedures are commonly carried out to replace part of the missing bone to allow adequate implant placement.

How long do implants last?
In general, when carried out competently by an experienced surgeon, implants will last a great many years, with current research showing over 95% survival after 10 years. This is largely dependant on individual factors and particularly how well the patient looks after their oral hygiene. Several other factors such as gum disease and significant grinding of teeth can also be bad for implants, and these will be discussed as part of your comprehensive assessment, before agreeing on treatment.
It is wrong to assume that implants last forever. Like most dental treatments, they may require maintenance or replacement.
Is the treatment painful?
No it’s not! People are often surprised how little discomfort there is during implant surgery. Treatment is carried out under local anaesthetic, so you will be fully numb, and other than some movement and pressure there will not be any pain. Of course as with any minor oral surgery, there is some discomfort expected following the surgery, but this is manageable with over the counter painkillers and settles down rather quickly.
Can I be put to sleep for the surgery?
Being fully asleep is known as a general anaesthetic. This is something that is not available in a dental practice and is only carried out in hospitals.
If you are anxious and like the idea of being asleep, we can usually carry out your treatment under intravenous sedation instead. This is a form of ‘conscious sedation’ where you are given a drug through a drip into your vein, and whilst you will not be asleep, most people are so relaxed that they often feel like they were asleep and do not often recall anything about the treatment. It is a very safe and commonly carried out procedure, even for routine treatments if someone is anxious, and we will be happy to discuss your suitability for sedation.
Are implants expensive?
The cost of dental implant treatment can vary depending on the complexity of treatment. The initial cost of implants can be higher than alternative treatments however, the long-term cost-effectiveness of implants is often comparable, if not better than other options such as a bridge. The full cost of your whole treatment will be explained and confirmed in a detailed treatment plan document before agreeing to go ahead with surgery.

How are some implants so cheap?
There are several factors that influence dental implant cost, and we encourage you to enquire and ask about these with whichever clinician you decide to see.
- Are there any hidden fees? Prices that are advertised may not include the full charges for treatment, and this becomes apparent as each part of treatment is charged and quoted separately, leading to similar overall costs. For example, it is common to quote for an ‘implant’, but this does not include the cost of the actual tooth crown that is fixed to the implant. You should always receive a full breakdown of costs in a written treatment plan.
- Who is your surgeon? The success of implant treatment has been shown to be very much related to the training and experience of your surgeon – you need to know who will be carrying out all aspects of your treatment.
- What sort of aftercare will be available? This is particularly important if you are considering having treatment abroad. It is unfortunately common for patients to find themselves in a difficult situation when they require post-operative aftercare, but their original surgeon is not easily accessible to them.
- What implant system, materials and dental laboratory will be used? There are a lot of overhead costs in any implant treatment, and one way of reducing the costs to the patient is to use cheap materials and laboratories. We only use the highest quality products and trusted local UK laboratories – ones that we would choose for ourselves and families.
Can I get implants on the NHS?
In very specific situations and only in some hospitals. This is usually due to the loss of teeth from cancer or trauma. If you think you may be eligible, please ask your dentist to consider a referral to a suitable local hospital department. We won’t be able to refer you or confirm whether or not you are eligible for NHS treatment, as this is assessed by specific hospital consultants.
What is the best implant system?
There is no ‘best’ implant system. A quick search will give you an idea of the leading implant manufacturers that are trusted and respected.
When used competently by an experienced surgeon, most implant systems offer good results however, the quality of the components can vary with cheaper systems and importantly, the long-term availability of the parts required for servicing needs to be considered. For example, is your chosen implant system widely available and is it likely that the manufacturer will still be operating in the foreseeable future?
Straumann is a Swiss company and are considered one of the highest quality brands for dental implants. They have been manufacturing implants since 1954 and have decades of research and experience in the field. They are our first choice for ourselves and families if we required dental implants, and we choose to provide the same quality of care for our patients.



















